RECALL: Depression medication Mirtazapine recalled due to label error on declared strength
One lot of Mirtazapine tablets, used to treat major depressive disorder, was recalled due to a label error on its declared strength.
One lot of Mirtazapine tablets, used to treat major depressive disorder, was recalled due to a label error on its declared strength.
5-year-old dies in possible case of bacterial meningitis
Montgomery County Public Health District is investigating the death of a 5-year-old boy as a suspected case of bacterial meningitis.
Montgomery County Public Health District is investigating the death of a 5-year-old boy as a suspected case of bacterial meningitis.
Ibuprofen drops recalled in 2019, 2018 have expired, but can still be returned, company says
Editor’s Note: There was no new expansion of the recall in December 2019, as a previous version of this story suggested. The original expansion of the recall was in January 2019, and the first recall was in November 2018. All six lots affected by the recall have expired, with the latest expiration date being in December 2019. Consumers who previously purchased any of the six lots recalled (listed here) are still welcome to request a refund from Tris Pharma, Inc. The company said there is no deadline to do this, emphasizing that none of the six lots should be consumed due to expiration dates. Tris Pharma, Inc. also said Thursday that none of the six lots were on the shelves since last January’s expansion of the recall. All ibuprofen drops on the market and shelves now are safe and within the recommended dose, the company said.
Editor’s Note: There was no new expansion of the recall in December 2019, as a previous version of this story suggested. The original expansion of the recall was in January 2019, and the first recall was in November 2018. All six lots affected by the recall have expired, with the latest expiration date being in December 2019. Consumers who previously purchased any of the six lots recalled (listed here) are still welcome to request a refund from Tris Pharma, Inc. The company said there is no deadline to do this, emphasizing that none of the six lots should be consumed due to expiration dates. Tris Pharma, Inc. also said Thursday that none of the six lots were on the shelves since last January’s expansion of the recall. All ibuprofen drops on the market and shelves now are safe and within the recommended dose, the company said.
New FDA dual labels will now show calorie count of entire food container
The FDA has released new labeling guidelines that require manufacturers to list how many calories are in an entire package of food.
The FDA has released new labeling guidelines that require manufacturers to list how many calories are in an entire package of food.
US health officials will ban most flavored e-cigarettes - but with major exceptions
Health officials in the U.S. will ban most flavored e-cigarettes popular with underage teenagers, but with major exceptions that still benefit manufacturers, retailers and adults.
Health officials in the U.S. will ban most flavored e-cigarettes popular with underage teenagers, but with major exceptions that still benefit manufacturers, retailers and adults.
Judge denies request to keep North Texas baby on life support
A judge on Thursday denied the extension of a restraining order keeping a North Texas baby on life support at Cook Children’s Medical Center.
A judge on Thursday denied the extension of a restraining order keeping a North Texas baby on life support at Cook Children’s Medical Center.
Children who drink whole milk have lower obesity risk but the cause is unclear
Researchers have found that children who drank full-fat milk had a significantly lower chance of being overweight compared with those who drank reduced-fat milk but the actual cause of the lower risk is unclear.
Researchers have found that children who drank full-fat milk had a significantly lower chance of being overweight compared with those who drank reduced-fat milk but the actual cause of the lower risk is unclear.
U-Haul to stop hiring nicotine users in 21 states
The company said the new policy will go into effect on Feb. 1, 2020.
The company said the new policy will go into effect on Feb. 1, 2020.
Baby born without skin celebrates first birthday New Year’s Day
Ja’bari Gray is celebrating his first birthday as the New Year begins.
Ja’bari Gray is celebrating his first birthday as the New Year begins.
Florida woman 'rings' in 2020 cancer-free
A woman finishing chemotherapy is ringing in the new year in a very special way.
A woman finishing chemotherapy is ringing in the new year in a very special way.
FDA approves new drug to treat pancreatic cancer
The U.S. Food and Drug Administration approved an ovarian cancer drug for the maintenance and treatment of pancreatic cancer, according to AstraZeneca and Merck.
The U.S. Food and Drug Administration approved an ovarian cancer drug for the maintenance and treatment of pancreatic cancer, according to AstraZeneca and Merck.
FDA plans to ban sale of all refill e-cigarette pod flavors except tobacco and menthol, report says
The Food and Drug Administration plans to ban the sale of all e-cigarette flavors except for tobacco and menthol, a report said on Tuesday.
The Food and Drug Administration plans to ban the sale of all e-cigarette flavors except for tobacco and menthol, a report said on Tuesday.
‘Pushing past stereotypes’: American Girl unveils 2020 Girl of the Year doll with hearing loss
American Girl unveiled its 2020 Girl of the Year doll, the company’s first to feature a disability.
American Girl unveiled its 2020 Girl of the Year doll, the company’s first to feature a disability.
Volunteering and other altruistic acts can ease physical pain, study suggests
Doing good deeds for others has been proven to boost mood, ease anxiety and generally contribute to all-around better health and well being. Now scientists believe that performing altruistic acts, such as volunteering, can reduce physical pain as well.
Doing good deeds for others has been proven to boost mood, ease anxiety and generally contribute to all-around better health and well being. Now scientists believe that performing altruistic acts, such as volunteering, can reduce physical pain as well.
Houston reports first pediatric flu-related death this season
A young boy has suffered Houston’s first flu-associated pediatric death of the 2019-2020 flu season, the health department confirmed today.
A young boy has suffered Houston’s first flu-associated pediatric death of the 2019-2020 flu season, the health department confirmed today.
New state law taking effect to prevent surprise medical bills
A new state law in the new year aims to protect Texans from big surprises in their medical bills.
A new state law in the new year aims to protect Texans from big surprises in their medical bills.
Seattle school system says students must be vaccinated or they can’t return to class in 2020
Washington state law now requires that all students get an MMR vaccine, or have a signed certificate of exemption.
Washington state law now requires that all students get an MMR vaccine, or have a signed certificate of exemption.
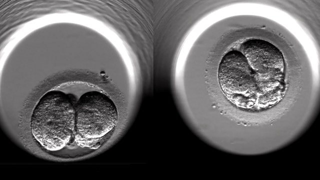
What a time to be alive: Reproductive breakthroughs of the 2010s that changed life as we know it
Some of the scientific advancements of the 2010s have been truly mind-blowing, and perhaps none more so than the leaps and bounds we’ve made in the realm of reproduction.
Some of the scientific advancements of the 2010s have been truly mind-blowing, and perhaps none more so than the leaps and bounds we’ve made in the realm of reproduction.
Husband donates kidney to wife of 51 years after learning he’s a perfect match
High school sweethearts Mike and Peggy Nipper underwent a successful transplant at St. David’s North Austin Medical Center in Texas just before the holidays.
High school sweethearts Mike and Peggy Nipper underwent a successful transplant at St. David’s North Austin Medical Center in Texas just before the holidays.
Fasting diets may add years to your life as well as help you lose weight, new study suggests
Fasting may be more than just fad.
Fasting may be more than just fad.
















