1 in 20 people have asymptomatic COVID-19, Dallas doctor says
While many people are looking forward to the Fourth of July weekend, doctors and nurses are looking at it with a sense of dread.
While many people are looking forward to the Fourth of July weekend, doctors and nurses are looking at it with a sense of dread.
Kroger gets emergency FDA approval for at-home coronavirus testing kit
The kit will only be available to front-line employees for now, but Kroger said it plans to expand availability to other companies and organizations soon.
The kit will only be available to front-line employees for now, but Kroger said it plans to expand availability to other companies and organizations soon.
Saniderm Advanced Hand Sanitizer recalled over potential toxic chemicals
FDA had warned about 9 sanitizers made by Mexico-based Eskbiochem SA de CV due to possible methanol
FDA had warned about 9 sanitizers made by Mexico-based Eskbiochem SA de CV due to possible methanol
Big Love Cancer Care virtual birthday bash kicks off
Big Love Cancer Care has had to dramatically readjust their volunteer efforts and their fundraising due to COVID 19, but the nonprofit group is determined to keep their mission going.
Big Love Cancer Care has had to dramatically readjust their volunteer efforts and their fundraising due to COVID 19, but the nonprofit group is determined to keep their mission going.
Big Love Cancer Care determined to win over COVID
Big Love Cancer Care has had to dramatically readjust their volunteer efforts and their fundraising due to COVID 19, but the nonprofit group is determined to keep their mission going.
Big Love Cancer Care has had to dramatically readjust their volunteer efforts and their fundraising due to COVID 19, but the nonprofit group is determined to keep their mission going.
Abbott, MLB hall-of-famer Iván "Pudge" Rodríguez release new PSA about the importance of masks
In the PSA, Rodríguez urges Texans to wear a mask in public to protect themselves and others from the virus.
In the PSA, Rodríguez urges Texans to wear a mask in public to protect themselves and others from the virus.
CDC official says United States has ‘way too much virus’ to contain
The CDC principal deputy director spoke on the worrisome factors and wishful thinking regarding the United States’ handling of the COVID-19 pandemic.
The CDC principal deputy director spoke on the worrisome factors and wishful thinking regarding the United States’ handling of the COVID-19 pandemic.
Planning to fly this summer? Here’s what you can expect during TSA screening at airports amid pandemic
Those who haven’t flown since March will notice some differences.
Those who haven’t flown since March will notice some differences.
Doctor demonstrates how face mask blocks respiratory droplets from spreading
One medical expert’s widely-shared Twitter thread demonstrates the effectiveness of wearing a facial covering amid a pandemic that is far from over.
One medical expert’s widely-shared Twitter thread demonstrates the effectiveness of wearing a facial covering amid a pandemic that is far from over.
Florida school district to spend $4 million on installing transparent screens in classrooms
A north Florida school district has voted to install transparent screens in classrooms in response to the coronavirus pandemic.
A north Florida school district has voted to install transparent screens in classrooms in response to the coronavirus pandemic.
'Fitness Instructor of the Year for Seniors' motivates Houstonians to exercise
Eliot's enthusiasm about fitness is contagious and got the attention of the YMCA's National SilverSneaker's Program. Out of 3,000 nominations across the country, Eliot was just named its "Instructor of the Year".
Eliot's enthusiasm about fitness is contagious and got the attention of the YMCA's National SilverSneaker's Program. Out of 3,000 nominations across the country, Eliot was just named its "Instructor of the Year".
How risky is flying during the coronavirus pandemic?
Flying can increase your risk of exposure to infection, but airlines are taking precautions and you can too.
Flying can increase your risk of exposure to infection, but airlines are taking precautions and you can too.
More than 200 Planet Fitness gym-goers asked to quarantine after 1 tests positive for COVID-19
Members who visited the Planet Fitness location in Morgantown, West Virginia are being asked to quarantine for at least two weeks.
Members who visited the Planet Fitness location in Morgantown, West Virginia are being asked to quarantine for at least two weeks.
'The worst is yet to come': Coronavirus pandemic 'not even close to being over,' WHO official warns
June 30 marks six months since the World Health Organization was first notified of the coronavirus pandemic.
June 30 marks six months since the World Health Organization was first notified of the coronavirus pandemic.
Johns Hopkins University immunology specialist debunks common face mask myths
Are masks safe to wear while exercising? What happens when your mask gets wet from sweat? Should babies wear a mask? Immunology Specialist Dr. Andrew Pekosz with Johns Hopkins University answered some common questions about face coverings and debunked some myths during his appearance on Good Day LA Monday.
Are masks safe to wear while exercising? What happens when your mask gets wet from sweat? Should babies wear a mask? Immunology Specialist Dr. Andrew Pekosz with Johns Hopkins University answered some common questions about face coverings and debunked some myths during his appearance on Good Day LA Monday.
AMC pushes back movie theater reopening by 2 weeks
AMC Theaters, the nation’s largest chain, is pushing back its plans to begin reopening theaters by two weeks.
AMC Theaters, the nation’s largest chain, is pushing back its plans to begin reopening theaters by two weeks.
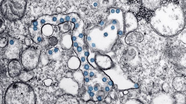
COVID-19 infection triggers growth of arm-like tentacles in cells, microscope images show
New electron microscope images released in a study from a team of researchers led by scientists at the University of California, San Francisco appear to show cells infected with COVID-19 growing arm-like tentacles to infect other cells.
New electron microscope images released in a study from a team of researchers led by scientists at the University of California, San Francisco appear to show cells infected with COVID-19 growing arm-like tentacles to infect other cells.
FCC to vote in July to make '988' the suicide hotline number
Federal regulators will vote in July on whether to make “988” the number to reach a suicide prevention hotline.
Federal regulators will vote in July on whether to make “988” the number to reach a suicide prevention hotline.
Six confirmed COVID-19 cases reported at NW Houston nursing facility
According to a release, the COVID-19 outbreak is located at Park Manor of CyFair. Officials said their investigation into the facility began back on May 28 after an individual tested positive for COVID-19.
According to a release, the COVID-19 outbreak is located at Park Manor of CyFair. Officials said their investigation into the facility began back on May 28 after an individual tested positive for COVID-19.
Pregnant women with coronavirus are 5 times more likely to be hospitalized, data from CDC shows
Death rates for pregnant and non-pregnant women were similar, but pregnant women were more likely to be admitted to the ICU and require a ventilator.
Death rates for pregnant and non-pregnant women were similar, but pregnant women were more likely to be admitted to the ICU and require a ventilator.



















