Houston siblings hold lemonade stand for childhood cancer awareness
Two siblings are helping Houstonians beat the heat while raising money for a good cause. 10-year-old Sophia and her 6-year-old brother, Logan, helped run a lemonade stand, and the money they raise benefits Alex's Lemonade Stand Foundation for Childhood Cancer.
Two siblings are helping Houstonians beat the heat while raising money for a good cause. 10-year-old Sophia and her 6-year-old brother, Logan, helped run a lemonade stand, and the money they raise benefits Alex's Lemonade Stand Foundation for Childhood Cancer.
Houston city officials advising residents about cooling centers ahead of record breaking heat this weekend
It's hard to imagine living in triple digit heat, but that's a reality for some Houstonians. Everyone can escape the heat this weekend by visiting cooling centers.
It's hard to imagine living in triple digit heat, but that's a reality for some Houstonians. Everyone can escape the heat this weekend by visiting cooling centers.
What is Ramsay Hunt syndrome: Justin Bieber reveals facial paralysis diagnosis
Ramsay Hunt syndrome has led Justin Bieber to cancel multiple shows because of the resulting facial paralysis.
Ramsay Hunt syndrome has led Justin Bieber to cancel multiple shows because of the resulting facial paralysis.
Study: Gym workouts may increase COVID-19 infection risk; here's how to stay safe
Researchers measured the exhaled breath at rest and during different exercise intensities among eight men and eight women.
Researchers measured the exhaled breath at rest and during different exercise intensities among eight men and eight women.
Scorching temperatures raise concern for children left in cars
For trauma centers around the nation, they see a spike in volume in terms of the number of children that are coming into emergency centers during the summer months. The cases are often accidental deaths, like children left in hot cars.
For trauma centers around the nation, they see a spike in volume in terms of the number of children that are coming into emergency centers during the summer months. The cases are often accidental deaths, like children left in hot cars.
Special reunion for COVID-19 patient and nurses who prayed with him
A special reunion was held at Memorial Hermann Southeast between Eddie Iniesta and his family with a group of medical workers, who filled many roles during the pandemic to help him fight even harder to survive.
A special reunion was held at Memorial Hermann Southeast between Eddie Iniesta and his family with a group of medical workers, who filled many roles during the pandemic to help him fight even harder to survive.
Staying safe as Houston temperatures climb into the triple digits
FOX 26?s Natalie Hee shares how experts are encouraging residents to beat the heat.
FOX 26?s Natalie Hee shares how experts are encouraging residents to beat the heat.
Dogs sniffed out COVID-19 more accurately than some lab tests, study says
Dogs were able to detect positive COVID-19 tests with 97% accuracy compared to the nasal swab tests which were only 84% accurate, according to the study.
Dogs were able to detect positive COVID-19 tests with 97% accuracy compared to the nasal swab tests which were only 84% accurate, according to the study.
COVID-19 was leading cause of US duty-related police deaths in 2020, study finds
In 2020, COVID-19 deaths accounted for 62% of all duty-related law enforcement officer deaths.
In 2020, COVID-19 deaths accounted for 62% of all duty-related law enforcement officer deaths.
COVID vaccines for kids 5 and younger could start the week of June 20: White House
Up to 20 million U.S. children under 5 could be eligible for a COVID-19 vaccine starting the week of June 20.
Up to 20 million U.S. children under 5 could be eligible for a COVID-19 vaccine starting the week of June 20.
Loved ones hope to save others after Houston woman killed in domestic violence murder
Relatives of a woman who was shot and killed want abuse victims to "recognize the signs and get help" before domestic violence escalates to murder.
Relatives of a woman who was shot and killed want abuse victims to "recognize the signs and get help" before domestic violence escalates to murder.
Study suggests genetic cancer risks could be enhanced by metabolism
A Canadian professor believes deepening our understanding of how the metabolism works, combined with making healthy lifestyle changes, can lower cancer risks.
A Canadian professor believes deepening our understanding of how the metabolism works, combined with making healthy lifestyle changes, can lower cancer risks.
Moderna says updated COVID shot boosts omicron protection
Moderna’s study results revealed people given the combination vaccine shot had higher antibody levels to fight omicron and other variants.
Moderna’s study results revealed people given the combination vaccine shot had higher antibody levels to fight omicron and other variants.
Houston Health Department offering tips for hot weather week ahead
The Houston Health Department is providing tips for residents in an effort to beat the expected heat wave this week.
The Houston Health Department is providing tips for residents in an effort to beat the expected heat wave this week.
Women’s health company unveils ‘Period Crunch’ cereal shaped like uterus
Milk even turns red when you add it to a bowl of “Period Crunch” cereal. The inventors hope the new product will make the taboo topic more palatable.
Milk even turns red when you add it to a bowl of “Period Crunch” cereal. The inventors hope the new product will make the taboo topic more palatable.
FDA panel greenlights Novavax COVID-19 vaccine
FDA's vaccine chief said another choice in the U.S. may entice at least some vaccine holdouts - whatever their reason - to consider rolling up their sleeves.
FDA's vaccine chief said another choice in the U.S. may entice at least some vaccine holdouts - whatever their reason - to consider rolling up their sleeves.
Small study of rectal cancer treatment brings every single patient into remission
Every single rectal cancer patient with a certain mutation entered remission after receiving the experimental immunotherapy drug in a small clinical trial.
Every single rectal cancer patient with a certain mutation entered remission after receiving the experimental immunotherapy drug in a small clinical trial.
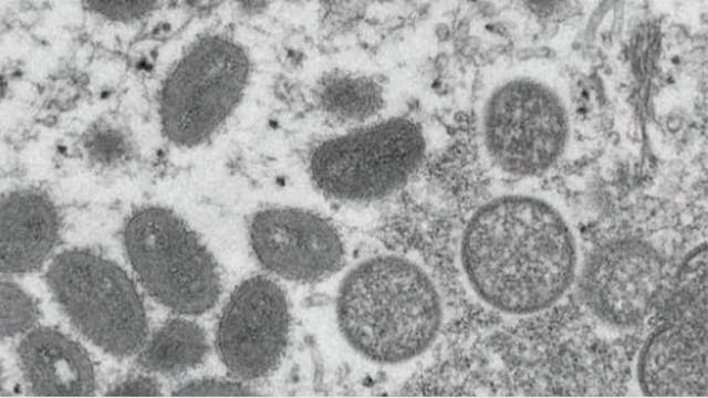
Houston hospitals preparing in case of Monkeypox outbreak
The CDC is raising its alert level for Monkeypox to level 2, which means they recommend travelers wear masks, among other health measures. Local hospitals are preparing in case of an outbreak in Houston.
The CDC is raising its alert level for Monkeypox to level 2, which means they recommend travelers wear masks, among other health measures. Local hospitals are preparing in case of an outbreak in Houston.
Potential 'pregnancy register' in Poland stokes privacy fears for women
The right-wing government in Poland, where a near-total abortion ban is in place, now faces accusations it is creating a “pregnancy register.”
The right-wing government in Poland, where a near-total abortion ban is in place, now faces accusations it is creating a “pregnancy register.”
Drug could help thousands with advanced breast cancer, researchers say
The latest gain for targeted cancer therapy could open new treatment possibilities to thousands of patients with advanced breast cancer.
The latest gain for targeted cancer therapy could open new treatment possibilities to thousands of patients with advanced breast cancer.



















