Beijing enforces lockdowns, expands COVID-19 mass testing amid outbreak
Residents lined up for throat swabs across Beijing as mass testing was expanded to 11 city districts. Beijing has a total of 92 virus cases since an outbreak was discovered five days ago.
Residents lined up for throat swabs across Beijing as mass testing was expanded to 11 city districts. Beijing has a total of 92 virus cases since an outbreak was discovered five days ago.
Why telemedicine is not enough to address racial health disparities
Health disparities existed before COVID-19; and according to experts at the University of Houston, while telemedicine looked to bridge that gap, it’s simply not enough.
Health disparities existed before COVID-19; and according to experts at the University of Houston, while telemedicine looked to bridge that gap, it’s simply not enough.
Chiropractor claims she has cured more than 1,000 people from loss of taste, smell
A countless number of people are still dealing with the loss of taste and smell from COVID-19. We're checking-back in with a chiropractor from The Woodlands who says she has cured more than a thousand people by performing a simple adjustment.
A countless number of people are still dealing with the loss of taste and smell from COVID-19. We're checking-back in with a chiropractor from The Woodlands who says she has cured more than a thousand people by performing a simple adjustment.
UK patient had COVID-19 for 505 days straight, study shows
Although persistent infections are rare, experts said there are many people with compromised immune systems who remain at risk of severe COVID-19.
Although persistent infections are rare, experts said there are many people with compromised immune systems who remain at risk of severe COVID-19.
Houston foster agency stresses need for new foster homes post the COVID-19 pandemic
The past 2-years put a major strain on the foster care system, creating difficulties for foster parents and children, as well as the agencies that work to support them.
The past 2-years put a major strain on the foster care system, creating difficulties for foster parents and children, as well as the agencies that work to support them.
Airlines to allow passengers banned over masks back on planes
Now that most airlines have made masks optional in the U.S., here's where the four largest stand on bringing back passengers who refused to wear them when they were required.
Now that most airlines have made masks optional in the U.S., here's where the four largest stand on bringing back passengers who refused to wear them when they were required.
Families traveling with small children confused on what to do in light of mask mandate being lifted
Family travel expert Eileen Ogintz says it could be more dangerous now to travel with kids under five who aren’t vaccinated.
Family travel expert Eileen Ogintz says it could be more dangerous now to travel with kids under five who aren’t vaccinated.
Transit mask mandate ?remains necessary?: CDC asks DOJ to appeal ruling
The Centers for Disease Control and Prevention is asking the Justice Department to appeal a ruling that voided the federal travel mask mandate.
The Centers for Disease Control and Prevention is asking the Justice Department to appeal a ruling that voided the federal travel mask mandate.
COVID-19 re-infection can happen sooner than you think, CDC study says
Previous COVID-19 infections may not protect you for long against new variants of the disease, a new CDC study says.
Previous COVID-19 infections may not protect you for long against new variants of the disease, a new CDC study says.
Federal mask mandate appeal depends on CDC, Biden administration says
Major airlines and airports in places like Dallas, Atlanta, Los Angeles and Salt Lake City quickly switched to a mask-optional policy.
Major airlines and airports in places like Dallas, Atlanta, Los Angeles and Salt Lake City quickly switched to a mask-optional policy.
Fliers, subway riders shed masks after transit mandate lifted: 'Feel free to burn them'
The major airlines and busiest airports rushed to drop their requirements, but many sided with the CDC in recommending that people be voluntarily masked.
The major airlines and busiest airports rushed to drop their requirements, but many sided with the CDC in recommending that people be voluntarily masked.
Moderna hopes to offer updated COVID-19 booster for latest variant this fall
Moderna hopes to offer updated COVID-19 boosters in the fall that combine the original vaccine with protection against the latest variant.
Moderna hopes to offer updated COVID-19 boosters in the fall that combine the original vaccine with protection against the latest variant.
White House: Federal transportation mask mandate 'not in effect at this time'
The TSA said it will no longer enforce mask-wearing on public transportation after a federal judge in Florida voided the mandate.
The TSA said it will no longer enforce mask-wearing on public transportation after a federal judge in Florida voided the mandate.
Lone Star College creates online campus to meet virtual learning demands
LSC-Online is the eighth official college launched by Lone Star that is 100% online.
LSC-Online is the eighth official college launched by Lone Star that is 100% online.
It’s not over: COVID-19 cases are on the rise again in US
Yet again, the U.S. is trudging into what could be another COVID-19 surge, with cases rising nationally and in most states after a two-month decline.
Yet again, the U.S. is trudging into what could be another COVID-19 surge, with cases rising nationally and in most states after a two-month decline.
1st COVID-19 breath test given emergency use authorization by FDA
The Food and Drug Administration has issued an emergency use authorization for what it says is the first device that can detect COVID-19 in breath samples.
The Food and Drug Administration has issued an emergency use authorization for what it says is the first device that can detect COVID-19 in breath samples.
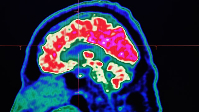
If you have COVID-related brain fog, these tips from a doctor may help
Brain fog is one of the most common and frustrating symptoms of Long COVID. An infectious disease specialist who heads up at Atlanta Long COVID clinic shares some tips that might help ease memory loss and other cognitive difficulties.
Brain fog is one of the most common and frustrating symptoms of Long COVID. An infectious disease specialist who heads up at Atlanta Long COVID clinic shares some tips that might help ease memory loss and other cognitive difficulties.
COVID-19 booster: Pfizer to seek extra shot for healthy kids 5 to 11
Pfizer said new data shows its kid-sized COVID-19 booster could help healthy elementary-aged children rev up virus-fighting antibodies and plans to seek authorization soon.
Pfizer said new data shows its kid-sized COVID-19 booster could help healthy elementary-aged children rev up virus-fighting antibodies and plans to seek authorization soon.
CDC extends travel mask requirement to May 3 amid uptick in COVID-19 cases
The CDC extended the order, which was to expire on April 18, by two weeks to monitor an uptick in COVID-19 cases.
The CDC extended the order, which was to expire on April 18, by two weeks to monitor an uptick in COVID-19 cases.
Global COVID-19 cases and deaths fall for 3rd consecutive week, WHO says
WHO said the decreases “should be interpreted with caution” as numerous countries where COVID is starting to subside have also dismantled testing programs.
WHO said the decreases “should be interpreted with caution” as numerous countries where COVID is starting to subside have also dismantled testing programs.



















